Services & Treatments

Implants

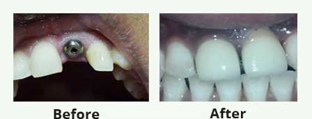
What Are Dental Implants?

Dental implants are replacement tooth roots.

They are titanium root analogues placed in the bone . After sufficient anchorage time …crowns are placed on the implants which act as fixed replacement of missing teeth.

Implants provide a strong foundation for fixed or removable replacement of teeth that are made to match your natural teeth and function accordingly.

Each implant holds one or more prosthetic teeth. This type of implant is generally used as an alternative for patients with bridges or removable dentures.

WHAT CAN I EXPECT AFTER RECEIVING A DENTAL IMPLANT?

As you know, your own teeth require continuous home oral care and regular dental visits. Dental implants are like your own teeth and will require the same care. In order to keep your implant clean and plaque-free, brushing and flossing still apply!

Use of mouthwash and a visit to dentist every six months is highly recommended.

After treatment, we will work closely with you to develop the best care plan for you.

Periodic follow-up visits will be scheduled to monitor your implant, teeth and gums to make sure they are healthy.

implants service implants service